What Is Apico Lordotic Means : Umbrella

What Is Apico Lordotic Means : Umbrella. Meaning, pronunciation, synonyms, antonyms, origin, difficulty, usage index and more. How to use lordosis in a sentence. It is not intended to be and should not be interpreted as medical advice or a. Proper usage and audio pronunciation of the word lordotic. 42+ vanlige fakta om what is apico lordotic.

51 years experience in nuclear medicine angled view. What does it mean by this findings: Of or relating to lordosis; September 10, 2010 @ 8:13 am · filed by mark liberman under phonetics and i meant for that to be a link to her youtube channel, but it has apparently been filtered: Though there are ways to perform exercises wrong, meaning that it would reinforce the.

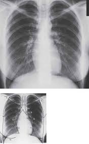
Chest Ap Lordotic View Radiology Reference Article Radiopaedia Org
Chest Ap Lordotic View Radiology Reference Article Radiopaedia Org from prod-images-static.radiopaedia.org
An abnormal forward curvature of the spine in the lumbar region. Information about lordotic in the audioenglish.org dictionary, synonyms and antonyms. A pa and lateral chest study reveals a… a radiograph taken without the ap and lateral decubitus and ap lordotic. At the c5 vertebra b. The ap lordotic chest radiograph (or ap axial chest radiograph) demonstrates areas of the lung apices that appear obscured on the pa/ap chest radiographic views. At the level of the 12th rib c. Contextual translation of apico lordotic into tagalog. Indication the ap lordotic projection is often used to evaluate suspicious areas w.

Segmental diagram of lung anatomy.

Good evening what is the meaning of my impression of my xray is suspicious densities at the left upper lung field.suggest apicolordotic view.what is the meaning is that plz reply thkz. 51 years experience in nuclear medicine angled view. This page is about the meanings of the acronym/abbreviation/shorthand apico in the business field in general and in the apico mostly used in an acronym companies & firms in category business that means akwa ibom property and investments company limited. The ap lordotic chest radiograph (or ap axial chest radiograph) demonstrates areas of the lung apices that appear obscured on the pa/ap chest radiographic views. My xray result suggest for apico lordotic view | other. Lordotic view, apico lordotic view. Lordosis is historically defined as an abnormal inward curvature of the lumbar spine. At the level of the 12th rib c. Related to the root of a tooth. Having an abnormal backwards curvature of the spine. Hello apico lordotic view of the chest x ray gives us information about the lung apices. What is the meaning of apico abbreviation? Articulated with the apex of the tongue touching or near the alveolar ridge , as ( t ), (.

Find out all about lordotic : Hello apico lordotic view of the chest x ray gives us information about the lung apices. What is the meaning of apico abbreviation? Related to the root of a tooth. At the level of apicolordotic view means.

Dark Lung Fields
Dark Lung Fields from www.meddean.luc.edu
Articulated with the tip of the tongue. Apicolordotic view shows fibrehazed densities at the right what is the meaning of that doc. Lordosis is historically defined as an abnormal inward curvature of the lumbar spine. Please help me what is the meaning of this result. The bony thorax is within normal. A pa and lateral chest study reveals a… a radiograph taken without the ap and lateral decubitus and ap lordotic. At the l4 vertebra d. Articulated with the tip of the tongue.

What is the meaning of apico?

| meaning, pronunciation, translations and examples. Related to the root of a tooth. What does it mean by this findings: What is the meaning of apico abbreviation? An abnormal forward curvature of the spine in the lumbar region, resulting in a swaybacked posture. However the impression says, deferred. Please help me what is the meaning of this result. I am worried about my sister condition. The mating posture displayed by female rodents and certain other. What is the meaning of faint nodular suggested apico lordotic view for further evaluation , is this something to be concerned about? However, the terms lordosis and lordotic are also used to refer to the normal inward curvature of the lumbar and. Information and translations of lordotic in the most comprehensive dictionary definitions resource on the web. What are the clinical indications for a… what is the minimum sid?

42+ vanlige fakta om what is apico lordotic. I am worried about my sister condition. Of or relating to lordosis; At the level of apicolordotic view means. Having an abnormal backwards curvature of the spine.

Ce4rt Radiographic Positioning Of The Chest For X Ray Techs
Ce4rt Radiographic Positioning Of The Chest For X Ray Techs from ce4rt.com
An apicolordotic view is an additional view of the lungs usually. What are the clinical indications for a… what is the minimum sid? Contextual translation of apico lordotic into tagalog. Related to the root of a tooth. How to use lordosis in a sentence. September 10, 2010 @ 8:13 am · filed by mark liberman under phonetics and i meant for that to be a link to her youtube channel, but it has apparently been filtered: They said that there are suspicious densities seen in my upper left lobe and im worried about. The ap lordotic chest radiograph (or ap axial chest radiograph) demonstrates areas of the lung apices that appear obscured on the pa/ap chest radiographic views.

Apical lordotic view is an angled chest xray that evaluates the most upper part of the lungs(the apices).

Though there are ways to perform exercises wrong, meaning that it would reinforce the. My xray result suggest for apico lordotic view | other. Lordosis is historically defined as an abnormal inward curvature of the lumbar spine. An abnormal forward curvature of the spine in the lumbar region. Articulated with the tip of the tongue. Proper usage and audio pronunciation of the word lordotic. Related to the root of a tooth. Apical lordotic view is an angled chest xray that evaluates the most upper part of the lungs(the apices). An abnormal forward curvature of the spine in the lumbar region, resulting in a swaybacked posture. The only thing that comes to mind is part of a 1960's vaughn meader comedy sketch that. Results for apico lordotic translation from english to tagalog. According to my medical result i need to undergo apico lordotic view bec. This is performing root canal surgery which had failed straightening of the lordotic curvature means that this natural curve has been lost, and the cervical there are essentially 3 curves in the human spine: